二〇〇四年 五月 デンタ日記
五月三十一日 咬合挙上
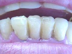
  Sさんの義歯を製作中です。残った歯の位置関係から、Sさんの上下顎の位置関係を設定します。(右写真)今まで使っていた義歯を修理調整していくと(左写真)上下前歯に間隙があいてしまいました。が、Sさんの機能的な上下の顎の位置関係を設定するとこうなってしまいます。咬合が低すぎたので挙上したのです。新しい義歯では見た目も美しく改善するつもりですが、Sさんには新しい義歯ができるまでのしばしの間辛抱していただいてます。
 とても難しいケースです。新しい義歯ができてからもその使用訓練に多くの時間が必要でしょう。

五月三十日 休診日には、にわかライダー
 休診日は、いつもより早く起きます。今日もにわかライダーやりました。義兄からもらった赤いヘルメット、ネットオークションで手に入れたオフロード用ブーツ、野田のスポーツオーソリテイーで買った980円の皮手袋。結構似合う。? 後ろの白い塊は、牧草をパッキングしたものです。牧草の刈り入れ時期なのですね。川原にいっぱいありました。
 天気予報は、はずれていい天気。四時間ほど利根川、鬼怒川の川原を回ってきました。すごく日に焼けました。川原にはラジコン機のミニ飛行場がいくつもありました。

五月二九日 メタルボンドと泣いてしまったYちゃん
 Kさんの右上第一小臼歯(左写真中央)とHさんの左下第二小臼歯(右写真中央)にメタルボンド(陶材焼付け前装金属冠の俗称)が入りました。小臼歯は、話すとき笑う時にかなり見える歯です。健康保険の給付範囲ではこの部位に金属色の冠を入れなければなりません。
 写真のように自然な感じを出すためにはメタルボンドが最適だと思います。(自費診療になります。)

 Yちゃんは六歳です。体が大きいので一年生かと思いました。でも、実は幼稚園児です。よく間違われてしまうそうです。
 今日はYちゃんにとって初めての診療室です。すごく緊張しています。話かけたら涙が湧いて出てしまいました。人は見かけによらないもの。こどもの診療も先入観を捨て慎重に慎重にアプローチしないといけません。おかあさんもあまりがっかりしないでくださいね。診療椅子で横になるのはとても勇気のいることなのです。
 次回から治療の練習を始めます。

五月二八日 ゴールドはステータス
 Tさんの上顎の義歯の修理をしました。二本の前歯が、歯周病の歯根先端までの進行により抜けてしまいました。抜けた歯を義歯で補うために修理をしました。抜けた前歯には金冠が入ってました。Tさんが、若い時から何十年も前歯のそこにあったものです。抜けた歯から金冠を取り外し入れ歯に埋め込みました。
 Tさんにとってこの金歯はトレードマークでありステータスなのです。

五月二七日 休診日には草刈を
 休診日にはいつもより早く起きます。私は小さいころからそうでした。休みの日には早起きなんです。朝から好きなことができるからです。でも今日は診療室の周りの草刈をしました。あまり好きなことではありませんが、ほっとくわけにはいきません。今頃は、雨が降って晴れる、そして草が伸びる。毎週草刈をしなければならないくらいですね。でも、だから農作物も育つのですが。うちのかみさんも久しぶりに花壇の手入れをしていました。写真はかみさんが育てている薔薇です。
 散歩をしたり、草刈をしたり、バイクに乗ったり、けっこう汗をかきました。明日は筋肉痛かも。

五月二六日 いつまでも すてきな笑顔と かがやく歯
 六月四日から歯の衛生週間です。「すてきな笑顔とかがやく歯」どちらも、だれもがみな本来持っているものです。でも、ちょっとした油断で失ってしまいます。笑顔もちょっとした気の緩み生活習慣の乱れから失われがちですね。綺麗な歯も生活習慣とくに食事習慣の乱れや歯磨きをちょっとサボることで失われてしまいます。
 いつまでも素敵な笑顔と輝く歯を保つために、本来の健康な生活習慣について家族みんなで考えてみましょう。そして健康な時こそ定期健診を受けて、その健康な状態がいつまでも続くようにアドバイスを受けましょう。

五月二五日 乳歯のむしば!
 Yuちゃんは半年ぶりの来院です。左下の乳臼歯が虫歯になってしまいました。(左写真)
 毎日歯磨きをしていても油断はできません。大人が仕上げ歯磨きをしてあげるとともに虫歯になっていないかどうかチェックしてあげてください。小さい乳歯は、虫歯の進行が早くわずかな期間で重症な虫歯になってしまいます。は
 少なくとも毎月一度は、お子さんの歯を大人が隈なくチェックしましょう。なにか異変があれば歯科医に検診してもらいましょう。

五月二四日 マウスガードとブッシュ
 今日の毎日新聞にブュッシュさんがマウンテンバイクに乗っていて転倒したが、マウスガードとヘルメットをしていたのでかすり傷だったという記事がありました。(左写真)
 みなさんご存知でしたか。マウスガード!激しいスポーツをされる人はマウスガードの使用を検討してくださいね。
詳しくはここをクリック。!マウスガード
 

五月二三日 銀座
 今日は、日曜日いつもより早く起きました。あのトライアルバイク(五月十三日参照)に乗るためです。一時間ちょっと利根川の川原を回ってきました。十数年ぶりのライデングはぎこちなく、たった一時間で腕や腰が痛くなってしまいました。
 午後は、雨模様になってしまったので銀座に散歩に行きました。二時頃に出かけていくと高速道路もすいていて一時間ちょっとで銀座に着いてしまいます。デジカメをもって二時間ほど散歩をして帰ってきました。
 利根川の川原を走っていると銀座の良さが、銀座の街角に立つと岩井のよさが見えてきますね。両方楽しんだ一日でした。

五月二二日 土曜日 オーバーデンチャーの試適
 Kさんの上顎の総義歯を試適(完成前に試しに入れてみる。)しました。私が見たところとてもいい具合です。でも義歯をはじめて入れるKさんは総義歯を入れていられるか不安でたまりません。訓練期間は必要ですが、うまく使いこなしてくれるでしょう。
 Kさんのこの上顎の義歯、形は総義歯ですがまだ上顎に四本の歯が残っています。正確には歯の根だけ残っているのです。根を残したまま総義歯にするメリットは三っつあります。①顎の骨が痩せない。②歯ごたえを少し感じる事ができる。③クラスプ(バネ)が見えない。(このような義歯をオーバーデンチャーと呼びます。)。

五月二一日 出たトコ・イングリッシュ(岩井英語クラブ)
 外国の人が治療に来院した時、いつももっと英会話をしっかり学習しておけばよヵったと思います。治療の事について説明義務があるからです。治療の説明には時間がかかります。外国語ではなおさらです。
 毎週金曜日の夜、七時半から英会話クラスです。私は岩井英語クラブに入ってます。なかなか上達しません。当然です、自主トレ、ホームワークなどあまりしません。でたとこ勝負、とにかく知ってる英単語をまず言う。それから言いたいことを...適当な英単語を並べます。...英会話は通じれば良いんですよ。自称「出たトコ・イングリッシュ」と呼んでいます。悲しいことにワイキキでか通じません。
 まじめに英会話を学習したい。当面のテキストは長男の中学校の英語の教科書です。(左写真) おおあ!ハワイいきて。
 

五月二十日 壊れていたバックアップ
 さて我が家のトラブルパソコンです。原因はスカジーカードという部品の接触不良でした。無事復旧したのですが、なんとシステムのバックアップが壊れていたのです。データは何重にもバックアップしてあるのですが、システムは新しいアプリケーションソフトを組み込んだ時だけバックアップします。運悪く前回のバックアップの時に前々回の分を壊してしまったらしいのです。リカバリできませんでした。早い話が、今まで組み込んだソフトを全部もう一度組み込まなければなりません。そして設定やカスタマイズも一からやり直しです。はふう。
 雨の休診日、CD-ROMを出し入れ出し入れしながら一日が終わりました。みなさんはちゃんとバックアップをとっていますか。バックアップしたい人がいますか。バックアップしてくれる人がいますか。歯のことは歯医者にバックアップしてもらいましょう。
 

五月十九日 義歯、二題
 Knさんは、これまで長い間海外勤務で、義歯に不具合があっても我慢したり自分で修理したりしていました。三日間ぐらい帰国したとき仕事の合間をぬって来院され、抜歯したり義歯修理をしたりしていました。今年から内地勤務になりました。Knさんも私も今度はじっくり腰を据えてよい義歯をつくるつもりです。(左写真)
 Kaさん、数年前に上下に総義歯をいれました。そのときは、とても具合が良いと言ってました。でも最近、髭剃りの時に右側の頬に義歯が出っ張って邪魔になると来院されました。よくみると上下の義歯の噛みあわせが、歯半分右横にずれていたのです。横にずらして噛む癖がそのまま固定されてしまったようです。(右写真)このままでは顎関節に悪影響が出そうなので噛みあわせを直さなければなりません。長い間に固定されてしまった癖を直すのは大変です。ああわ。
 

五月十八日 第二小学校歯科健診
 今日は、岩井第二小学校で一年生の歯科健診をしました。(左写真)みんなよく歯を磨いていますね。でも、もうちょっと気を付けるともっと良く磨けそうな人も居ました。歯科衛生士が健診後に歯ブラシの使い方、六歳臼歯の磨きかたをアドバイスしました。(右写真)
 

五月十七日 SCSI(スカジー)カード?
 さて我が家のトラブルパソコンです。原因はSCSI(スカジーと読みます。)カードという部品でした。いまはパソコンの周辺機器をUSB(ユーヱスビー)で接続しますが、二昔前まではSCSIで接続していたのです。だからうちの大部分のパソコンにはこのSCSIカードが組み込まれています。 部品が壊れても大丈夫!。秋葉原では三、四百円で手に入る部品です。うちには予備部品のストックがあるのです。写真はアダプテック社製SCSIカードの部品の一部。かつては数万円したものです。

 歯は、機械の部品と違います。壊れたからといって秋葉原で買ってきて差し替えるわけにはいきません。壊れないように日ごろからメインテナンスしましょう。歯の定期健診をお忘れなく。
 

五月十六日 パソコンはトラブルものよ。
 昨夜まで元気いっぱいだった我が家のパソコン、今朝から起動中途でハングアップしてしまいます。ハードウエアのどこかにトラブルが潜んでいるのですが、特定できません。でもトラブル原因を発見しないとインスツールもままなりません。パソコンはトラブルものですね。

 歯の不具合も原因を特定できない場合もあります。その時にはなにもしないで経過を見る場合があります。原因を特定してから治療にかかる方が結局近道です。
 

五月十五日 ホームページを見て..
 Yuちゃん(三歳)とおかあさん、治療の練習が上手にできたので記念写真をとりました。おかあさんがこのホームページをご覧になり隣の街から来院されました。
 Yuちゃんは残念ながらの乳臼歯にむし歯ができてしまいました。どうやらある時よその人に飴をもらって食べてからYuちゃんは飴大好きになってしまったようです。
 むし歯予防についてももちろんのことですが、ご夫婦でご家族でよく話し合って信念をもって子育てをしないと社会には思わぬ罠が潜んでいます。
 Yuちゃんの永久歯はむし歯にしないようにご両親に頑張っていただきたいと思います。

五月十四日 いろいろ
 Fさんの第一大臼歯にメタルボンド(陶材焼付け前装金属冠の俗称)が入りました。これは色形そして透明感のある仕上がりは自然の歯にとても近い感じできれいです。右側写真は模型上で作業が終わった時。左側写真は歯に装着された時の写真です。

 Kさんの義歯が入りました。とてもいい感じと感想をいただきました。患者さんと私がほっとする瞬間です。
 テストフードを食べていただきました。えびせんべいです。私は、できるだけ柔らかそうな塩せんべいを選んでほしいのですが、患者さんはなぜか硬そうなえびせんべいを選びます。
 テストフードもOKだったので今日の診療を終わりにしました。でも、新しい義歯を数日使っていると必ず痛いところが出てくるのです。Kさんにも、あと数回義歯調整に来ていただかなければなりません。

 Yさんは、初めて義歯を入れる患者さんです。義歯印象(入れ歯の型を採ること)の時から緊張してゲーとなってしまって大変でした。
 今日、義歯が完成し上下とも入れていただきました。一回目は約一分ほど我慢できました。予想してたとはいえ大変難しい状況です。しかし、義歯を入れなければ噛む機能の回復は望めません。少しずつ頑張ってほしいと思います。
 初めて義歯を入れる人は、Yさんと似たような状況です。義歯を使いこなす事は、身体機能回復のリハビリですから、安易な道はありません。毎日の努力です。でも、義歯の痛いところは我慢せず歯科医に調整してもらいましょう。

五月十三日 トライアルバイク
 私は、約十七年前にトライアルバイクを乗ってました。左写真のHONDA TLM50(普通免許で乗れる50ccの原付です。)です。その後、知人に譲って手元を離れていたのですが、最近戻ってきました。かなり錆が出ています。が、オートランドSUGAさんでとりあえず乗れるように整備してもらってナンバーも取りました。消耗品やキャブレターを新品に交換しました。今日、十数年ぶりに乗ってみました。調子良いです。かつての様に利根川をトレッキングするつもりです。

五月十二日 飯島小学校での学校歯科健診等の打ち合わせ
 来月6月十六日に飯島小学校では学校保健委員会が主催する「むし歯予防集会」が予定されています。毎年、この集会に歯科衛生士を派遣して全児童に口腔衛生について講話をしています。今年は歯科衛生士の小出が担当します。また二十三日には学校歯科健診を予定しています。
 今日は昼休みを利用してその打ち合わせに飯島小学校に行きました。写真は養護教諭の河辺先生と小出が打ち合わせをしている様子です。

五月十一日 総義歯の装着
 五月六日に試適をしたKさんの総義歯が完成しました。名前が入ってます。レービンブレード(商品名)という金属ブレードのついている人工歯を使っています。
 装着して特に痛いところがないのでテストフード(えびせんべい)を食べていただきました。テストフードもOKです。患者さんも私もほっとする瞬間です。でも新しい義歯に慣れるまでは努めてゆっくり噛むようにしていただきたいです。使用していると必ずどこか痛いところが出てきます。これから数回は義歯の調整に来ていただかないといけません。

五月十日 義歯の試適
 Gさんの義歯の試適です。上顎はまだ歯が数本残っています。部分入れ歯です。下顎は総義歯です。数本でも自分の歯が残っていると噛み応えを歯で感じることができます。自分の歯が有ると無いのでは、食感が大きく違うのではないでしょうか。
 残り数本でも自分の歯を大切にしていただきたいと思います。諦めないで良く歯磨きすると結構長く持つものです。

五月九日 ネットオークション
 今日は日曜日で休診です。ご近所でご不幸があったのでお手伝いにいってきました。お葬式も式場を使った形式になり私が子供の頃(四十年前)と様変わりしました。その意義も変わってきているのでしょうか。
 様変わりと言えばネットオークション。私は十年前頃から中古のパソコン部品をネットオークションで手に入れていたのです。現在のネットオークションの充実ぶりはすごいです。私は、ネットオークションをリサイクルの精神で利用しています。秋葉原の怪しいパソコン部品屋を覗いて回るような楽しみがあります。日曜日の夕方二時間ほどネットオークションを楽しみました。

五月八日 BIOS
 パソコンのBIOS(バイオスと読む)をご存知ですか。ベーシックインプットアウトプットシステムのことです。日本語では基本入出力システムとでもいうのでしょうか。パソコンの基本的な入出力装置の設定をするプログラムです。これをどう設定したかメモを残しておかないと忘れてしまいます。昔は鉛筆でメモしたのですが、今はこの設定画面をデジカメで撮影して記録しています。

五月七日 歯根先端に潜む
 Gさん、久しぶりです。いままで特に自覚症状はなかったのですが、左下の前歯が折れてしまったので来院されました。歯が折れた事とは関係なく歯根先端に慢性的な病巣があります。(左写真の黄色丸内の黒く写っている部分)下顎のこの部分の骨は薄いので病巣が骨を突き破って歯ぐきから透けて見えるようになってます。(右写真黄色丸内の白い部分)
 折れた歯に冠をかぶせる前にこの慢性的な病巣を治す処置をしなければなりません。症状がなくても様々な病変が潜んでいることがあります。みなさん定期的に歯科健診を受けましょう。

五月六日 総義歯と顔形
 Kさんの総義歯を製作中です。今日は新義歯の仕上げ前の最終チェックです。蝋で作った総義歯に人工歯を並べた物を試しに入れてもらいました。旧義歯を入れたとき(左写真)、新義歯を入れたとき(右写真)で顔の形が違います。下唇からオトガイ(下唇の下の部分)にかけての違いに注目してください。歯の見え方(右下写真)も良好なので仕上げ作業に移ります。
 総義歯の形や歯の形、歯並びは顔の形に影響しますから仕上げ作業前に十分なチェックが必要なのです。
 前歯が写っている(自分の前歯が残っているときの)写真があると義歯製作の参考になります。

五月五日 曇り空
 昨夜「かっこうの巣の上で」DVD観ました。ずっと観たかった映画だったんです。
 今日は雨模様。こいのぼりは出てないかな。うちの二階から西の空を撮影しました。今日こそは四月分のレセプト(診療報酬請求事務)しなくちゃ。
 ちょっとしたきっかけで「シンドラーのリスト」DVD買っちゃいました。でも今日はそれを観る気分じゃありません。
 

五月四日 強風
 すごく強い風です。九時ごろに散歩に出かけましたが、歩いていると吹き飛ばされそうです。散歩のコースを変えて利根川まで行ってみました。田んぼでは田植えに忙しそうです。(右側の写真)連休中に田植えを済ませるお家も多いのでしょうか。
 利根川の堤防の内側はちょっと別世界です。ここでは野鳥が飛び交って、牧草や小さな白い花が強い風で波打ってました。ここは季節ごとに違った世界を見せてくれます。広角レンズで撮ると別世界でしょう。(左側写真)
 

五月三日 雨と新緑
 ベルホーレの裏の森もすっかり緑の葉が生い茂りました。雨に打たれてまた違った雰囲気です。特に出かける予定もなく近所をぶらぶら。いろいろやらなきゃいけないことが溜まってますが、CD-ROMの整理なんかはじめちゃって..。近所をぶらぶら。ちょっと不安なことも溜まってますが、...ぶらぶら。
 適当に運動して良く寝れば、きっと明日はうまく行くさ。

五月二日 スターヲーズ サイエンスアンドアート展
 国立科学博物館で表記の特別展示を観て来ました。映画好きの私にはとても興味深い展示でした。午前に入場したのですが入場制限で二十分待ちました。展示会場内はそれほど込み合いもなくゆっくり十分展示を楽しめました。一時半ごろに会場を出て驚きました。デズニーランドの人気アトラクションと同じぐらいの長さの列ができていました。みなさん出かけるなら午前中ですよ。
 その後、アメ横を歩いて秋葉原に行き九州じゃんがらラーメンを食べて怪しいパソコン部品屋をチェックして帰ってきました。リーズナブルに有意義な休日でした。
 

五月一日 総義歯の変な出っ張り?その二. 
 四月六日に紹介したKさんの総義歯の修理が完成しました。上の総義歯は、話をしたり唇を動かしたりするとすぐ落ちてしまいます。できるだけ義歯が安定するように試行錯誤したのですが、なかなか上手くいきません。右写真の黄色丸のところの変な出っ張りは、何とか上の総義歯を安定させようと上顎の上の方に義歯の縁を延ばしたものです。この変な出っ張りも忠実に再現して修理したのですが(左写真)使い心地はいかがでしょう。期待どうりに行かないものです。
 


二〇〇四年 五月 デンタ日記


  go to top 
  オフィッス 「デンタ・デンタリス」 のウエッブサイト
  "Denta・Dentalis" is the website of OFFICE Denta Dentalis at Iwai Bandou City Ibaraki Prefecture Japan.
Tatsuya Kimura release this page. Since Mon 05 Oct 1998. All Rights Reserved.